Smart Scene 3D
Программа автоматических измерений в 3D/4D режиме в акушерстве.
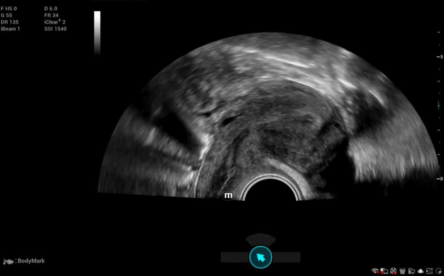
Полноценное интеллектуальное решение для диагностики матки, для легкой и быстрой оценки эндометрия
- Автоматическое распознавание матки
- Автоматическая подстройка зоны интереса и положения до оптимального
- Автоматический объемный рендеринг эндометрия

Место Smart Scene в технологии full-stack smartness

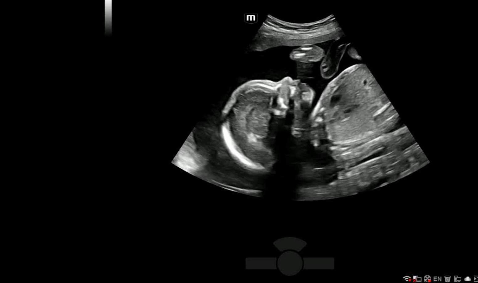
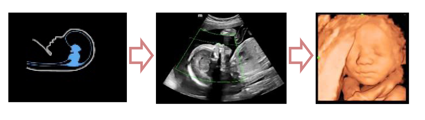
С легкостью получайте потрясающие объемные изображения лица плода.
- Автоматическое распознавание лица плода
- Автоматическая подстройка зоны интереса и положения до оптимального
- Автоматический определение параметров рендеринга лица плода

Место Smart Scene в технологии full-stack smartness

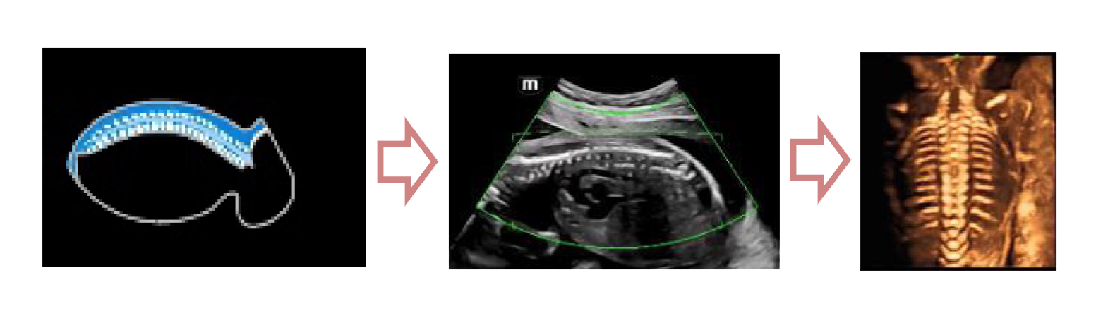
С легкостью получайте потрясающие 3D изображения позвоночника плода
- Автоматическое распознавание анатомии позвоночника плода
- Автоматическая подстройка зоны интереса и положения до оптимального
- Автоматический определение параметров рендеринга позвоночника

Место Smart Scene в технологии full-stack smartness

Легкое получение 3D изображения костей
- Автоматическое распознавание костей конечностей плода
- Автоматическая подстройка зоны интереса и положения до оптимального
- Автоматический рендеринг изображения

Место Smart Scene в технологии full-stack smartness
